ولې د سکاروي ناروغي نن هم خونړۍ ده؟
- ډاکټر خسرو سنګروال
- لندن مېشتی افغان ډاکټر
په سکاروي اخته ناروغان، ټوخی، تبه، او سالنډی لري، په عمومي توګه ناسازه وی، او که پر وخت ونه درملل شي وژونکې خړپړتیاوې ورسره ملګرې وي
د روغتیا نړیوالې ادارې، ډبلیو اېچ او، د تېرو ۵ کلونو راهیسې د نومبر ۱۲ مه د یوې داسې ناروغۍ په نوم یاده کړې ده چې ډېرو لرغونو کلونو راهیسې انسانان په ډېرو غټو شمېرو کې وژني.
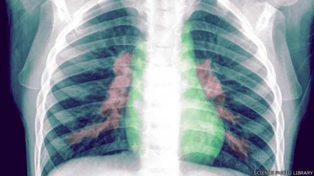
سکاروی یا Pneumonia چې سینه بغل یې هم بولي له پېړیو راهیسې د انسانانو د تاریخ پاڼو کې بیا بیا یاده شوې ده.
د یونان د نومیالي مخزېږدي درملګر هېپوکرېټس نه نیولې د اسلامي قرطبې تر نامتو یهود فیلسوف موسا بن میمون پورې، د لسګونو لرغون پوهانو نه راپاتې لیکنو په یوه نه یوه بڼه د سکاروي ترهه د تاریخ په اوږدو کې راپه ګوته کړې ده.
د سکاروي تر ټولو خونړۍ ثبت شوې پېښه د ۲۰ مې پېړۍ په سر کې هغه ناورین و چې د نړۍ لر او بر کې یې په سلګونو انساني ټولنې د مرګ په چغه پورې کړې.
د نوو علمي لاسوندونو له مخې جوته شوې ده چې د ۱۹۱۸ ۱۹۱۹ کلونو تر منځ د والګي هغه وبا کې چې ۵۰۰ ملیونه کسان یې اخته کړل، او په اټکلی توګه نږدې ۱۰۰ ملیونه نور یې ووژل، د ناروغانو د مړینې اصلی لامل انتانی سکاروی یا نمونیا و چې په والګي اخته ناروغان پرې اوښتل.
د تېرې پېړۍ په همدې دوو کلونو کې سکاروي د لومړۍ نړیوالې جګړې په پرتله ډېر وګړي ووژل.
خو بیا د انسانانو له نېکه مرغه، یو برتانوي ډاکټر په تصادفي ډول په ۱۹۲۸ کال پنسلین وپېژندل.
د پنسلین او ورپسې د نورو مکروب وژونکو درملو رابرسېره کېدو سره د سکاروي او نورو انتاني ناروغیو درملنه کې یو آوښتون منځ ته راغی. تر دې بریده چې اوس په لوېديځه نړۍ کې سکاروی یو ساده، او د رغېدو او درمللو وړ ناروغي ده.
سکاروی د سږو او تنفسي غړو التهابي ناروغي ده چې ډېری وخت انتاني لاملونه لري
په دې هېوادونو کې یوازې ډېر ناروغه کوچنیان او ډېر کلن وګړي، یا هغه کسان چې د نورو رنځونو له امله یې د بدن ساتندویه سیستم کمزوری شوی وي، له سکاروي نه مري.
مخ په ودې هېوادونو کې بیا کیسه بل ډول ده، لکه هره بله انتاني ناروغي چې په دې هېوادونو کې هر کال په سلګونو زرو وګړو نه ژوند اخلي، سکاروی هم په دې ډګر کې وروسته نه دی.
د روغتیا د نړیوالې ادارې د شمېرو له مخې د اېډز، ملاریا، او نري رنځ له امله د مړینو مجموعه د سکاروي له کبله د پېښېدونکو مړینو نه کمه ده.
یوازې د ۲۰۱۲ کال په اوږدو کې تر ۱ ملیون ډېر ماشومان چې عمرونه یې تر ۵ کلونو لږ ول، له سکاروي نه مړه شوي دي.
غمیزه دا ده چې پرمختللې نړۍ کې د سکاروي د پېښو راکمېدلو سره په دې هېوادونو کې د دې ناروغۍ په اړه پاملرنه، او پانګونه رالوېدلې ده.
تمه ښودل شوې ده چې د سکاروي د ورځې نومونې سره به په دې اړه په لوېدیځ کې هم د وګړو او ادارو پوهاوی د دې ناروغۍ په اړه ډېر شي.
مخ په ودې نړۍ کې د سکاروي د پېښو ډېروالی ګڼ لاملونه لري. د هېوادونو اقتصادي بې وزلي، د عمومي روغتیایي اکر کمزوري، وسله وال کړکېچونه او اغېزې یې، د څښاک د پاکو اوبو تنده، او د چاپېریال ککړتیا یې مشرې بېلګې دي.
سکاروی د سږو او تنفسي غړو التهابي ناروغي ده چې ډېری وخت انتاني لاملونه لري.
د یو روغ وګړي په مخ، پوستکي، خوله او د بدن په نورو برخو کې بې شمېره مکروبونه پرته د کومې ستونزې او ناروغۍ له پېښولو څري.
ان که دا مکروبونه د انسان د تنفسي غړو له لارې سږو ته ننوځي بیا هم د یو روغ انسان ساتندویه سیستم له دې مکروبونو نه د روغتیا د خوندي ساتلو وړتیا لري.
خو که انسان وار د مخې د یو کوم بل روغتیایي یا تغذیوي لامل له کبله ناروغ وي، او ساتندویه سیستم یې کمزوری شوی وي، بیا نو شته مکروبونه د سکاروي په څېر ځورونکې ناروغۍ زېږولی شي.
په سکاروي اخته ناروغان، ټوخی، تبه، او سالنډی لري، په عمومي توګه ناسازه وی، او که پر وخت ونه درملل شي وژونکې خړپړتیاوې ورسره ملګرې وي.
مخ په ودې هېوادونو کې وګړو ته سپارښتنه دا ده چې مخنیویز واکسینونه پر وخت واخلي، د لاسونو، خوراک او څښاک، او د خپل استوګنځي او چاپېریال سپېڅنې ته ډېره پاملرنه وکړي، او میندې دې خپل نوي زېږېدلي ماشومان لږ تر لږه د ژوند لومړیو ۶ میاشتو کې د مور له پیو څخه نه بې برخې کوي.
افغانستان غوندې هېواد کې چې بې وزلي او د روغتیایي خدماتو نشتوالی او نابرابري ناورین زېږونکې ده، هر ژمی په سلګونو زره ماشومان او ډېر کلن وګړي په سکاروي اخته کېږي، او په سلګونو نور ترې مري.
د افغانستان د روغتیا وزارت د شمېرو له مخې په ۲۰۱۳ کال کې ۶۸۰۳۴۶ په سکاروي اخته ناروغان روغتونونو کې ثبت شوي دي، او دا چې څومره نور شخصی روغتیایی مرکزونو ته تللی دي، او څومره وګړي لا تر روغتون پورې نه دي رسېدلي، کره نه ده.
په ټوله کې د نړیوالو روغتیایي ادارو، هېوادونو، او درملګرو په غاړه ده چې د سکاروي د مخنیوي، تشخیص او درملنې لپاره په ګډه او کوټلي ګامونه واخلي.
انتاني ناروغۍ تر پایه پورې د نړۍ یو ګوټ کې ایسارې نه پاتې کېږي.
